各種ご案内

各種ご案内

初診受付時間

月曜日〜金曜日8:30〜11:00
休診日:土曜・日曜・祝日
年末年始(12月29日〜1月3日)

交通案内

駐車場約500台完備
岐阜バス(JR岐阜15番乗り場、名鉄岐阜6番乗り場)

部門紹介

超音波検査部は、2022年より中央検査部から独立し、臨床検査技師・診療放射線技師にて超音波検査を主業務として、日々働いています。

岐阜県の基幹病院として質の高い超音波検査と総合的判断能力を持ったレポート作成を行う超音波検査部を目指しながら、院内の超音波機器管理も行っています。

施設認定(2025年4月1日現在)

  • 公益社団法人日本超音波医学会 超音波専門医研修基幹施設
  • 一般社団法人日本心エコー図学会 認定心エコー図専門医制度研修施設

職員認定資格(2025年4月1日現在)

  資格 (人)
超音波検査関連 超音波検査士(消化器) 4
  超音波検査士(循環器) 5
  超音波検査士(体表) 4
  超音波検査士(血管) 2
  血管診療技師(CVT) 2
  日本乳がん検診精度管理中央機構 乳房技術試験B判定 2
その他 岐阜県肝炎医療コーディネーター 9
  二級臨床検査士(循環生理学) 1

検査案内

超音波検査(エコー検査)は、超音波を用いて体内の臓器を観察する検査です。
超音波を発する探触子(プローブ)を目的部位の皮膚にあてて検査を行います。放射線による被爆の心配がなく、痛みや苦痛など人体への影響がないところが特徴で、妊婦や乳幼児にも安心して検査を受けていただけます。

当院では、日本超音波医学会認定超音波検査士の資格を有する技師を中心に、心臓・腹部・乳腺・血管・体表・胎児等幅広い領域の検査を行っています。

超音波検査室には、9室の検査室があり、最新機器を使用して検査を行っています。

また、乳腺超音波検査は乳腺外来に隣接した乳腺エコー室(2室)、胎児超音波検査は産婦人科外来に出向して検査を行っています。この他、循環器内科、消化器内科等の検査に同席して医師のサポートも行っています。

技師は、各種講習会、学会へ積極的に参加し、質の高い検査が提供できるように努めています。また、毎年超音波検査士を育成しています。

院内で開催される各種カンファレンスにも参加し、医師の他、他職種を交えた勉強会にも参加しています。

検査説明

ゼリーを塗って、検査部位にプローブをあてて検査を実施します。
ほとんど痛みはありません。

検査後には、軽くふき取り、おしぼりをお渡しします。ティッシュなど近くにありますので必要に応じて使用してください。
また、おしぼりが足りない時は声を掛けてください。追加でお渡しします。

検査結果に関しては、担当医師から説明があります。

心臓超音波検査
(心エコー検査)

心臓の形や動き、弁の状態、血液の流れなどを調べる検査です。

ベッドに左向きで横になっていただき、胸にゼリーを塗り心臓を観察します。

必要に応じて仰向けや右向きになったり息を止めたりして撮影します。

検査時間は通常20~30分程度です。

検査着に着替えていただき、検査を行っています。普段の服装でも検査はできますが、ゼリーが付着する可能性があるため、検査着への着替えにご協力ください。

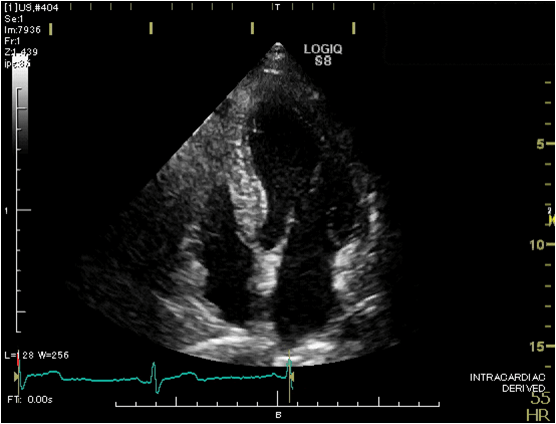
超音波診断装置(心臓用)
超音波診断装置(心臓用)
心臓の超音波画像
心臓の超音波画像

腹部超音波検査
(腹部エコー検査)

肝臓・胆嚢・膵臓・腎臓・脾臓・大動脈・膀胱・前立腺・子宮・卵巣・消化管などの状態を調べます。

各臓器の腫瘍や炎症、結石や脂肪肝など異常の有無が確認できます。

ベッドの仰向けに寝ていただき、お腹にゼリーを塗り観察します。検査時間は観察内容にもよりますが10~20分程度です。

検査中は息を吸ったり止めたりの呼吸調整や、必要に応じて体位変換(側臥位・座位など)を行います。体位変換が困難な場合はお知らせください。

検査目的によって絶食や水分制限が必要になります。

膀胱や骨盤内臓器を見る場合は尿を貯めた状態で検査をします。

事前に指示された内容に従ってください。

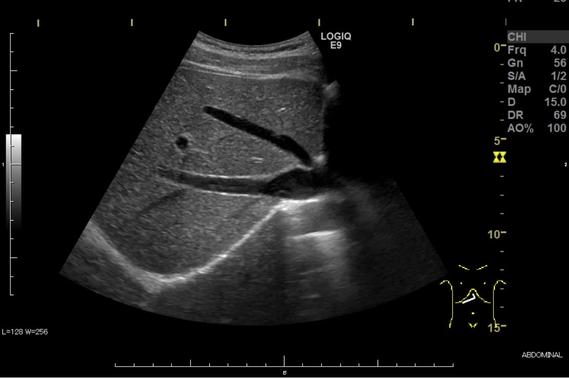
超音波診断装置(腹部・表在用)
超音波診断装置(腹部・表在用)
肝臓の超音波画像
肝臓の超音波画像

乳腺超音波検査
(乳腺エコー検査)

乳房(主に乳腺)の病変の有無を調べる検査です。

乳がんや良性のしこり(線維腺腫、のう胞など)の形や性状、硬さなどを観察し評価します。

マンモグラフィでは分かりにくい、若い方や乳腺が発達している方も詳しく見ることが出来ます。

ベッドに仰向けに寝ていただき、軽く頭側に手を上げて観察します。

マンモグラフィのように乳房を圧迫しないため強い痛みはありません。

妊娠中や授乳中でも安全に受けられます。検査時間は15~20分程度です。

頸動脈超音波検査
(頸動脈エコー検査)

首の血管(頸動脈)の動脈硬化の状態を調べる検査です。

血管の壁の厚みやコレステロールなどが溜まってできる“プラーク(こぶのようなもの)”の形や性状、血管の狭さ(狭窄)を確認します。脳梗塞や心臓病のリスクを調べるのに役立ちます。

頸動脈超音波検査により血管の状態を早期に把握できるため、生活習慣病の予防や治療方針の参考にもなります。

ベッドに仰向けに寝ていただき首のあたりにゼリーを塗り、頸動脈を観察します。

検査時間は10~20分程度です。

下肢血管超音波検査
(下肢血管エコー検査)

足の血管(動脈や静脈)の状態を調べる検査です。

動脈硬化による血管の狭くなった場所や血の流れの悪さ、血栓の有無を確認できます。

下肢動脈閉塞症や深部静脈血栓症(エコノミークラス症候群)などの診断に役立ちます。

検査部位(足)にゼリーを塗って血管の状態や血液の流れを評価します。

必要に応じて座ったり立ったりして検査を行います。検査時間は15~45分程度です。

表在超音波検査
(甲状腺)

首の前側にある甲状腺の大きさや形、しこりの有無を調べる検査です。

しこりの良悪性の鑑別や炎症や腫れの程度などを評価します。

ベッドに仰向けに寝ていただき甲状腺を見やすくする目的で顎を上げ、首を少し後ろに反らした体勢で検査をします。

首の部分にゼリーを塗り観察します。

検査時間は10~20分程度です。数ミリ程度の小さなしこりも発見できる高感度な検査です。

表在超音波検査
(皮下腫瘤・関節)

皮膚の下にできた“しこり”や“はれもの”の性質を調べる検査です。

またリウマチなどによる、関節の炎症や水の溜まりの有無を確認します。

見たい部位(しこりや関節)にゼリーを塗り、内部の状態を画像として観察します。

皮下のしこりの大きさや深さ、周囲組織との関係を確認でき、治療方針の参考にもなります。

関節の検査では動かしていただきながら観察することもあります。

検査時間は10~20分程度です。

しみず しょうご

清水 省吾

役職
  • 副院長
  • 消化器内科部長
  • 超音波検査部副部長
専門分野
  • 肝臓疾患の診断、治療
認定資格
  • 日本内科学会 認定内科医・指導医
  • 日本消化器病学会認定 専門医・指導医
  • 日本肝臓学会認定 専門医・指導医
  • 日本消化器内視鏡学会認定 専門医・指導医
  • 日本門脈圧亢進症学会
  • 日本緩和医療学会
清水 省吾

のだ としゆき

野田 俊之

役職
  • 副院長
  • 病床管理部長
  • 超音波検査部長
  • 心臓血管センター長
  • 循環器内科部長
認定資格
  • 日本循環器学会専門医
  • 日本内科学会認定医
  • 日本心臓病学会FJCC
  • ICD・CRT 研修修了取得者

いわがき しげき

岩垣 重紀

役職
  • 胎児診療科部長
  • 産科主任医長
  • 超音波検査部副部長
認定資格
  • 日本周産期・新生児医学会 母体・胎児専門医・指導医、評議員
  • 産科婦人科学会専門医・指導医
  • 胎児心臓病学会 胎児心エコー認証医
  • 超音波医学会 超音波専門医・指導医
  • 母体保護法指定医
  • 日本母体救命システム普及協議会(J-CIMELS)インストラクター

ながや まき

長屋 麻紀

役職
  • 中央検査部副部長兼技師長
  • 超音波検査部副部長

やまだ まさかつ

山田 将勝

役職
  • 中央放射線部副部長兼技師長
  • 超音波検査部技師長

担当職員数
(2025年4月1日現在)

臨床検査技師 9名
診療放射線技師 3名
非常勤臨床検査技師 2名
事務員 1名

診療実績

検査実績

2024年度 超音波検査実績

心臓 9423件
腹部 5023件
乳腺 4475件
血管 3041件
胎児 112件
その他 2711件

過去5年間の超音波検査数

領域(件)/年度 2020 2021 2022 2023 2024
心臓 8,316 8,929 8,220 8,350 9,423
腹部 4,779 5,129 4,573 4,473 5,023
乳腺 4,134 4,091 3,898 4,126 4,475
血管 2,696 3,051 2,863 2,928 3,041
その他(体表) 2,442 2,780 2,581 2,443 2,711
合計 23,491 24,845 22,369 22,486 24,785

科内超音波件数(検査補助)

経食道心エコー 499件
負荷心エコー 68件
心エコー(バブルテスト) 108件
腹部造影エコー 161件
経皮的ラジオ波焼灼術 41件

診療科

専門外来