各種ご案内

各種ご案内

初診受付時間

月曜日〜金曜日8:30〜11:00
休診日:土曜・日曜・祝日
年末年始(12月29日〜1月3日)

交通案内

駐車場約500台完備
岐阜バス(JR岐阜15番乗り場、名鉄岐阜6番乗り場)

呼吸器内科

診療内容

呼吸器内科は、気管・気管支・肺などの呼吸器系内科疾患全般について診療を行っています。頻度の高い疾患として、肺癌、肺炎、肺気腫、気管支喘息、間質性肺炎、非結核性抗酸菌症、胸膜炎、気胸、呼吸不全などがあり、主に咳、痰、息切れ、喘鳴、胸痛などを訴える患者さんが受診されています。

主な検査として、胸部X線検査、CT検査(コンピュータ断層撮影)、PET-CT検査、MRI検査、呼吸器内視鏡検査、喀痰・血液検査、呼吸機能検査などを、中央放射線部、病理診断部、臨床検査部などと連携して行っています。

治療においては、地域がん拠点病院として肺癌に対する化学療法(入院・外来)、放射線療法(入院・外来、放射線科と共同)、手術療法(呼吸器外科)を行っています。また、感染症に対する治療(結核の入院治療を除く)、呼吸不全に対する在宅酸素療法、気道狭窄や重症肺気腫に対する気管支鏡治療なども実施しています。非侵襲的陽圧換気療法(NPPV)や体外式人工呼吸器にも対応しています。

主な対象疾患

肺癌、肺炎、肺気腫、気管支喘息、間質性肺炎、非結核性抗酸菌症、胸膜炎、気胸、呼吸不全 など

診療体制について

当センターの呼吸器内科は、日本呼吸器学会基幹施設、日本呼吸器内視鏡学会認定施設、日本肺癌学会肺癌教育施設です。平成174月より赴任した浅野文祐、平成194月より都竹晃文、平成214月より増田篤紀、平成234月より村上杏理、平成294月より馬場康友、平成304月より武藤優耶、葛西佑太朗、三好真由香、令和74月より太田里奈が加わり、現在は医師9名と内科専攻医(呼吸器内科)2名で診療を行っています。

外来は初診(本館2階・第6診察室)と再診(第4・第5診察室)に分かれています。初診は毎日行っており、他医療機関からのご紹介や、健康診断での胸部X線異常に対する精密検査が主です。再診は予約制です。入院病棟は主に10階東病棟、5階西病棟、7階東病棟、6階東病棟です。

診療科の特徴

呼吸器内視鏡診療(呼吸器インターベンション)

気管支鏡検査は、気管支や肺から直接、病変の一部や分泌物、細菌などを採取し、診断や治療を行う重要な検査です。検査には、胃カメラより細いスコープ(気管支鏡)を使用します。しかし、肺の気管支は樹木のように枝分かれしながら徐々に細くなるため、気管支鏡が到達しにくい部位に存在する病変の診断には高度な技術を要します。

肺末梢小型肺癌に対する診療

当科では、症例に応じて、従来の約半分の太さ(外径3.0mm)の極細径気管支鏡(図1)を使用しています。さらに、CT検査から作成した病変までの立体的ガイドマップを用いる「仮想気管支鏡ナビゲーション」(図2a, b,c)により、短時間でより正確な気管支鏡検査が可能です。この方法は浅野部長が考案したもので、2003年度日本呼吸器内視鏡学会賞を受賞しています。2025年にはNHK「あしたが変わるトリセツショー」でも紹介されました(NHKオンデマンドシーズン1,エピソード38 新「がん対策」のトリセツ!命を守る切り札SPで視聴可能)。現在は保険診療の適応となっています。

また、早期末梢型肺癌の診断精度向上のため、当科では超音波をルーチンに併用し、必要に応じてクライオ生検も行っています。さらに、2cm以下の小型病変に対しては、全国に先駆けてコーンビームCTを併用した気管支鏡検査を実施しています(図3)。これらの手法を組み合わせることで、従来は気管支鏡の適応外とされていた、X線で描出されにくい微小病変の診断も可能となり、高い診断率を得ています。

2025年には、県内初となるロボットアーム式リニアック(サイバーナイフ)が当院に導入されました。サイバーナイフは定位放射線治療に特化したリニアックで、腫瘍に集中的に高線量の放射線を照射することが可能であり、外来での肺癌治療が可能です。当科では、病変への正確な照射を目的として、必要に応じて気管支鏡下にゴールドマーカー(直径1.5mm)を留置しています(図4)。

気道狭窄に対する診療

肺癌などによる気道狭窄に対して、全身麻酔下で硬性鏡を用いたステント留置を行っています。救急対応も可能です。

重症肺気腫に対する診療

気管支鏡を用いて気管支内にバルブを留置する気管支鏡的肺容量減量術(BLVR)により、過膨張した肺を縮小させ、呼吸機能や息切れの改善を図ります(図5)。本治療は保険適用されていますが、現在、全国で施行可能な施設は14施設のみで、岐阜県内では当科が唯一の実施施設です。

このほか、超音波ガイド下針生検用気管支鏡を用いたリンパ節転移診断(EBUS-TBNAEUS-B-TBNA)や、胸水症例に対する局所麻酔下胸腔鏡検査も行っています。

 

発表業績

国内外での発表実績として、平成17年度から令和6年度までに、国際学会38題、国内学術集会92題(地方会を除く、共同発表を含む)、英文論文36編(共著を含む)を発表しています。

当科の呼吸器内視鏡診療は世界的にも注目されており、これまでに米国胸部疾患学会(ATS)、ヨーロッパ呼吸器学会(ERS)、アジア太平洋呼吸器学会(APSR)、ジョンズ・ホプキンズ大学、クリーブランド・クリニック、アジア太平洋呼吸器内視鏡会議(APCB)、世界気管支鏡学会(WCBIP)、中華胸部学会、ベトナム胸部学会、エジプト胸部学会などで招請講演やハンズオンを行っています。また、国内外の医学雑誌に多数の著書・論文を発表しています。

さらに、技術普及を目的として国内外でハンズオンセミナーを開催しており、浅野部長は2022年に第45回日本呼吸器内視鏡学会学術集会を主催(図6)、20242025年に日本呼吸器内視鏡学会理事長を務めました。「気管支鏡ベストテクニック(第13版)」「気管支鏡テキスト(第3版)」の編集などを通じ、呼吸器内視鏡医の育成にも尽力しています。当科での勤務、研修、見学を希望される先生は、浅野部長までご連絡ください。

 

 

主な著書

  • 肺癌のすべて バーチャルナビゲーション 131-133 文光堂(2007年)
  • Interventional Pulmonology Clinics in Chest Medicine, Virtual Bronchoscopic Navigation 75-85 SAUNDERS (2010年)
  • Flexible Bronchoscopy 3rd Edition, Application and Limitations of Virtual Bronchoscopic Navigation 191-197 WILEY BLACKWELL(2011年)
  • Interventional Bronchoscopy A Clinical Guide, Practical Application of Virtual Bronchoscopic Navigation 121-140 Humana Press(2012年)
  • 新呼吸器専門医テキスト 経気管支生検、擦過 106-107 南江堂(2015年)
  • 気管支鏡ベストテクニック 中外医学社 (第1版2012、第2版2017年、第3版2024年)
  • 気管支鏡テキスト第3版 医学書院 (2019年)
  • 呼吸器ジャーナル、エキスパートが教える呼吸器内視鏡診療 医学書院(2021年)
  • 内科学第12版、気管支鏡検査 Ⅱ338-342 朝倉書店(2022年)
  • 最新臨床肺癌学 気管支内視鏡の進歩 214-220 医学臨床社(2022年)
  • 呼吸器疾患診療指針2023-2024 肺癌の診断 372-377(2022年)
  • 肺癌診療Q&A 第4版 小結節の診断技術について教えてください 156-159 中外医学社(2023年)

英文論文

  • Transbronchial Biopsy Using Endobronchial Ultrasonography With a Guide Sheath and Virtual Bronchoscopic Navigation. Chest 128, 1761-1765 (2005)
  • A Virtual Bronchoscopic Navigation System for Pulmonary Peripheral Lesions Chest 130, 559-566 (2006)
  • Factors Related to Diagnostic Sensitivity Using an Ultrathin Bronchoscope Under CT Guidance. Chest 131, 549–553 (2007)
  • A Virtual Bronchoscopic Navigation under X-ray Fluoroscopy for Transbronchial Diagnosis of Small Peripheral Pulmonary Lesions. Lung Cancer 57, 322-327 (2007)
  • Diagnosis of Peripheral Pulmonary Lesions Using a Bronchoscope Insertion Guidance System Combined with Endobronchial Ultrasonography with a Guide Sheath. Lung Cancer,60:366-373 (2008)
  • Mediastinal Lymph Node Staging in Potentially Resectable Non-Small Cell Lung Cancer:
    A Prospective Comparison of CT and EUS/EUS-FNA Respiration. 78:423-431(2009)
  • Virtual bronchoscopic navigation Clinics in Chest Medicine vol.31;Interventional Pulmonology : 75-85 (2010)
  • Virtual bronchoscopic navigation combined with endobronchial ultrasound to diagnose small peripheral pulmonary lesions: a randomised trial Thorax 66:1072-1077 (2011).
  • CT-guided ultrathin bronchoscopy: bioptic approach and factors in predicting diagnosis Intern Med 50: 2143-2148 (2011)
  • Deaths and complications associated with respiratory endoscopy: A survey by the Japan Society for Respiratory Endoscopy in 2010 Respirology 17:478–485 (2012)
  • Chapter 14; Application & Limitations of Virtual Bronchoscopic Navigation. Flexible Bronchoscopy 3rd edition. WILEY-BLACKWELL 191-197 (2012)
  • Bronchoscopic practice in Japan: A Survey by the Japan Society for Respiratory Endoscopy Journal of Society for Respiratory Endoscopy in 2010 Respirology 17:478–485 (2012)
  • Complications Associated with Endobronchial Ultrasound-guided Transbronchial Needle Aspiration: a Nationwide Survey by the Japan Society for Respiratory Endoscopy. Respir Res. 10;14:50 (2013)
  • Virtual bronchoscopic navigation combined with ultrathin bronchoscopy. A randomized clinical trial.
    Am J Respir Crit Care Med 18:327-333 (2013)
  • Chapter 7: Practical Application of Virtual Bronchoscopic Navigation. Interventional Bronchoscopy, A Clinical Guide. Humana Press 121-140 (2013)
  • Virtual bronchoscopic navigation for peripheral pulmonary lesions. Respiration 88:430-440 (2014)
  • Hemothorax with a high carbohydrate antigen 19-9 level caused by a bronchogenic cyst. Internal Medicine 53:1981-1984 (2014)
  • Virtual bronchoscopic navigation improves the diagnostic yield of radial-endobronchial ultrasound for peripheral pulmonary lesions with involved bronchi on CT. Intern Med. 54:1021-1025 (2015)
  • Ultrathin Bronchoscopy with Multimodal Devices for Peripheral Pulmonary Lesions. A Randomized Trial.
    Am J Respir Crit Care Med. 192:468-476 (2015)
  • Postobstructive pulmonary edema that developed immediately after the removal of an endobronchial foreign body.
    Intern Med. 54:497-502 (2015)
  • A Case of Pulmonary Actinomycosis Associated With Aspiration of Cedar Leaves.
    J Bronchology Interv Pulmonol. 22:259-262 (2015)
  • Bronchoscopy techniques in Japan: Transbronchial biopsy of small peripheral pulmonary lesions.
    Respir Investig. 53:135-136 (2015)
  • Advanced bronchoscopy for the diagnosis of peripheral pulmonary lesions.
    Respir Investig. 54:224-9 (2016)
  • Recommendation of Combination of Radial Endobronchial Ultrasound With Virtual Bronchoscopic Navigation.
    J Bronchology Interv Pulmonol. 23:187-8 (2016)
  • Virtual bronchoscopic navigation without X-ray fluoroscopy to diagnose peripheral pulmonary lesions: a randomized trial.
    BMC Pulm Med. 17:184 (2017)
  • Current status of diagnostic and therapeutic bronchoscopy in Japan: 2016 national survey of bronchoscopy.
    Respir Investig. 2019;57:238-244 (2019)
  • Factors leading to fialure to diagnose pulmonary malignant tumors using endobronchial ultrasound with guide sheath within the target lesion. Respir Res. 12;20:207 (2019)
  • Use of an Ultrathin vs Thin Bronchoscope for Peripheral Pulmonary Lesions: A Randomized Trial Chest. 156:954-964 (2019)
  • The Incidence of Hemorrhagic Complications Was Lower With the Guide Sheath Than With the Conventional Forceps Biopsy Method. J Bronchology Interv Pulmonol. 27:253-258 (2020)
  • Use of Ultrathin Bronchoscope on a Need Basis Improves Diagnostic Yield of Difficult-to-Approach Pulmonary Lesions.
    Front Med(Lausanne). 7:588048 (2020)
  • Pleomorphic Carcinoma with Exophthalmos and a Subsequent Diagnosis of Paraneoplastic Syndrome.
    Intern Med. 60:605-609 (2021)
  • A Patient with Lung Adenocarcinoma Accompanied by Whole Right Lung Torsion Induced by the Accumulation of a Large Amount of Pleural Effusion. Intern Med. 60:595-599 (2021)
  • Evaluating the one-time chair stand test for predicting the coronavirus disease severity in patients during hospital admission: a cohort study in Japan. Int J Emerg Med. 2023 16(1):23 (2023)
  • Close-to-lesion transbronchial biopsy: a novel technique to improve suitability of specimens for genetic testing in patients with peripheral pulmonary lesions. Sci Rep. 13(1):14724 (2023)
  • An Autopsy Case of Post-COVID-19 Interstitial Lung Disease with Acute Exacerbation. Intern Med. 62(23):3519-3523 (2023)
  • Prospective multicenter validation of a next-generation sequencing panel using cytology specimens for lung cancer: cPANEL.BMC Cancer. 25(1):1538 (2025)

呼吸器先進診療部

上述の先進的な呼吸器内視鏡診療を含む高度医療を提供するため、202511月に呼吸器先進診療部を新設しました。呼吸器外科、放射線治療科、病理診断部、麻酔科、感染症内科、リハビリテーション部などと緊密に連携し、地域の基幹病院として、より高度な診療の提供に努めています。

また、より良い診断・治療法の確立を目指し、臨床研究や治験にも積極的に取り組んでいます。ご不安な点やご不明な点がありましたら、どうぞ遠慮なくご相談ください。


図1 極細径気管支鏡(左側)と従来の気管支鏡(右側)
図2-a
図2-b
図2-c

図2 仮想気管支鏡ナビゲーション:検査前に設定した病変(青い丸)への気管支ルート(青い線)が青線で表示されるので、これに従い気管支鏡を挿入します。

図3 コ-ンビームCTによる拡張X線透視:気管支鏡検査中にコーンビームCTを行い、到達確認やX線透視上に病変(青色で表示)を描出することができます。

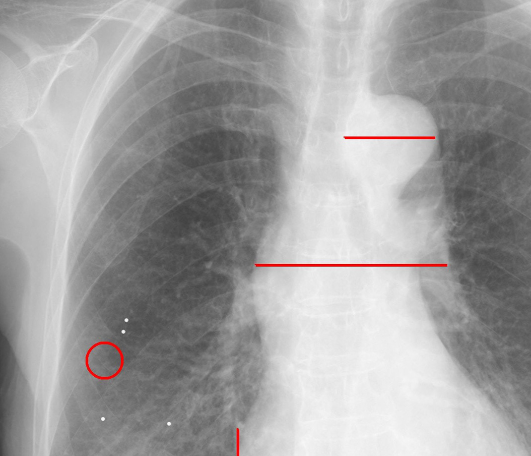
図4 ゴールドマーカー留置後の胸部X線写真: X線写真で見えない小結節(赤い丸)のまわりに、ゴールドマーカー(白い点)が4つ留置されています。

図5 気管支バルブ:標的気管支に気管支バルブが留置されています。
図6 第45回日本呼吸器内視鏡学会学術集会にて

あさの ふみひろ

浅野 文祐

役職
  • 呼吸器先進診療部長
  • 呼吸器内科部長
専門分野
  • 呼吸器内科診療
  • 呼吸器内視鏡診療
  • 肺腫瘍(肺癌など)
  • 慢性閉塞性肺疾患・アレルギー疾患(肺気腫、気管支喘息など)
認定資格
  • 日本呼吸器内視鏡学会監事・前理事長
  • 日本呼吸器内視鏡学会、評議員、専門医、指導医
  • 日本呼吸器学会、専門医、指導医
  • 日本肺癌学会暫定指導医
  • 日本がん治療認定医機構認定医
  • 日本内科学会総合内科専門医
  • Fellow in the American college of chest physicians(FCCP)
浅野 文祐

つづく あきふみ

都竹 晃文

役職
  • 呼吸器内視鏡科部長
  • 呼吸器内科主任医長
専門分野
  • 呼吸器内科診療
  • 呼吸器内視鏡診療(気管支鏡診断、治療など)
  • 肺腫瘍(肺癌など)
  • 慢性閉塞性肺疾患・アレルギー疾患(肺気腫、気管支喘息など)
  • 感染対策
認定資格
  • 日本呼吸器内視鏡学会専門医、指導医
  • 日本呼吸器病学会専門医、指導医
  • 日本がん治療認定医機構認定医
  • 日本内科学会総合内科専門医

ますだ あつのり

増田 篤紀

役職
  • 呼吸器内科主任医長
  • 集中治療部医長
専門分野
  • 呼吸器内科診療
  • 呼吸器リハビリテーション
  • 慢性閉塞性肺疾患・アレルギー疾患(肺気腫、気管支喘息など)
  • 呼吸器感染症(肺炎、非結核性抗酸菌症など)
認定資格
    • 日本呼吸器学会専門医、指導医
    • 日本内科学会総合内科専門医

    むらかみ あんり

    村上 杏理

    役職
    • 医長
    専門分野
    • 呼吸器内科診療
    • 慢性閉塞性肺疾患・アレルギー疾患(肺気腫、気管支喘息など)
    • びまん性肺疾患(間質性肺炎、肺線維症、サルコイドーシスなど)
    認定資格
    • 日本内科学会認定医

    ばば やすとも

    馬場 康友

    役職
    • 医師
    専門分野
    • 呼吸器内科診療
    • 肺腫瘍(肺癌など)
    • 慢性閉塞性肺疾患・アレルギー疾患(肺気腫、気管支喘息など)
    • 呼吸器内視鏡診療(気管支鏡診断、治療など)
    認定資格
    • 日本呼吸器学会専門医
    • 日本呼吸器内視鏡学会専門医
    • 日本内科学会認定医

    くずにし ゆうたろう

    葛西 佑太朗

    役職
    • 医師
    専門分野
    • 呼吸器内科診療
    • 呼吸器内視鏡診療(気管支鏡診断、治療など)
    • 肺腫瘍(肺癌など)
    認定資格
    • 日本呼吸器学会専門医
    • 日本呼吸器内視鏡学会専門医
    • 日本内科学会専門医

    みよし まゆか

    三好 真由香

    役職
    • 医師
    専門分野
    • 呼吸器内科診療
    • 緩和医療
    • びまん性肺疾患(間質性肺炎、肺線維症、サルコイドーシスなど)
    • 肺腫瘍(肺癌など)
    認定資格
    • 日本呼吸器学会専門医
    • 日本呼吸器内視鏡学会専門医
    • 日本内科学会専門医

    むとう ゆうや

    武藤 優耶

    役職
    • 医師
    専門分野
    • 呼吸器内科診療
    • 肺腫瘍(肺癌など)
    • 呼吸器内視鏡診療(気管支鏡診断、治療など)
    • 緩和医療
    認定資格
    • 日本呼吸器学会専門医
    • 日本呼吸器内視鏡学会専門医
    • 日本内科学会専門医

    おおた りな

    太田 里奈

    役職
    • 医師
    専門分野
    • 呼吸器内科診療
    • 呼吸器内視鏡診療(気管支鏡診断、治療など)
    • 肺腫瘍(肺癌など)
    • 慢性閉塞性肺疾患・アレルギー性疾患(肺気腫、気管支喘息など)
    認定資格
    • 日本呼吸器内視鏡学会専門医
    • 日本内科学会専門医

    すぎやま りょう

    杉山 諒

    役職
    • 医師(専攻医)
    専門分野
    • 呼吸器内科診療

    かのう ゆな

    加納 由奈

    役職
    • 医師(専攻医)
    専門分野
    • 呼吸器内科診療

    外来担当医表

    月曜日 火曜日 水曜日 木曜日 金曜日
    1診 午前 浅野文祐
    (病診・再診)

    三好真由香
    (病診・再診)

    太田里奈
    (初診)

    馬場康友
    (初診・再診)
    増田篤紀
    (初診・再診)
    都竹晃文
    (初診・再診)
    午後 馬場康友
    (再診)
    太田里奈
    (再診)
    馬場康友
    (再診)
    増田篤紀
    (再診)
    都竹晃文
    (再診)
    2診 午前 葛西佑太朗
    (初診・再診)
    増田篤紀
    (再診)
    浅野文祐
    (再診)
    葛西佑太朗
    (再診)
    武藤優耶
    (初診・再診)
    午後 葛西佑太朗
    隔週(再診)
    増田篤紀
    (再診)
    杉山 諒
    (再診)
    葛西佑太朗
    (再診)
    武藤優耶
    (再診)
    3診 午前 都竹晃文
    (再診)
    村上杏理
    (再診)
    都竹晃文
    (再診)
    三好真由香
    (再診)
    馬場康友
    (再診)
    午後 都竹晃文
    (再診)
    都竹晃文
    (再診)
    馬場康友
    (再診)
    4診 午前 増田篤紀
    (再診)
    武藤優耶
    (再診)
    太田里奈
    (再診)
    午後 増田篤紀
    (再診)
    武藤優耶
    (再診)
    太田里奈
    (再診)

    ※病診予約は、赤字部分で可能です。

    ご紹介いただきたい症例

    • 肺末梢小型病変の気管支鏡診断(X線透視で描出困難な病変、GGO病変を含む)
    • 末梢型小型肺癌に対する定位放射線治療前の気管支鏡下ゴールドマーカー留置
    • 肺過膨張を伴う重症肺気腫に対する気管支バルブ治療
    • 気道狭窄に対する気管支鏡治療(緊急対応可)
    • 気道異物に対する気管支鏡治療

    当科の強み

    当科は、日本呼吸器学会基幹施設として、救急を含む幅広い呼吸器診療に対応していますが、最大の強みは呼吸器内視鏡診療です。当科には日本呼吸器内視鏡学会認定の気管支鏡専門医が7名在籍し、診断から治療まで一貫した対応が可能です。
    また、日本呼吸器内視鏡学会主催のJapan Bronchoscopy Database(JBD)Projectに参加するとともに、現在、以下の臨床研究を実施しています。該当する症例やご不明な点がございましたら、お気軽にご相談ください。

    • 小型肺野末梢病変に対する、コ-ンビームCTガイド下極細径気管支鏡下鉗子生検に針生検を併用する意義の検討
    • 肺末梢結節影およびすりガラス陰影に対するコ-ンビームCT下のクライオ生検の有用性について
    • 気管支洗浄液を用いた高感度肺がんマルチ遺伝子NGSパネルの有用性の他機関検証試験(cPANEL2)
    • 気管支鏡検査における病変部を上側にした側臥位での検査の有用性について
    • 肺がんスクリーニングキットLUNG Clear™の有用性の検証試験

    施設認定

    • 日本呼吸器学会基幹施設
    • 日本呼吸器内視鏡学会認定施設
    • 日本肺癌学会教育施設

    主な医療機器や設備

    • 極細径気管支鏡
    • 細径気管支鏡
    • 処置用気管支鏡
    • 超音波気管支鏡
    • 仮想気管支鏡ナビゲーションシステム(DirectPath)
    • Radial型-EBUS
    • コーンビームCTと拡張X線透視(Augmented fluoroscopy)(放射線診断科)
    • 硬性気管支鏡
    • クライオ一式
    • アルゴンプラズマ
    • 局所麻酔科胸腔鏡

    診療科

    専門外来