各種ご案内

各種ご案内

初診受付時間

月曜日〜金曜日8:30〜11:00
休診日:土曜・日曜・祝日
年末年始(12月29日〜1月3日)

交通案内

駐車場約500台完備
岐阜バス(JR岐阜15番乗り場、名鉄岐阜6番乗り場)

診療内容

口腔外科とは口腔顎顔面に発生した外傷、炎症、嚢胞、腫瘍、奇形・変形、悪性新生物、機能障害、口腔粘膜・唾液腺疾患などを主に外科的に治療し、咀嚼機能、顔面の審美性の回復をはかる専門診療科です。

代表的な疾患

外傷 下顎骨骨折、顔面骨多発骨折、歯牙脱臼など
炎症 顎炎、頬部蜂窩織炎、顎下腺炎、智歯周囲炎(注1)など
嚢胞 (硬組織)歯根嚢胞、含歯性嚢胞、術後性上顎嚢胞、歯原性角化嚢胞など/(軟組織)粘液嚢胞、類皮嚢胞、甲状舌管嚢胞、鼻歯槽嚢胞など
腫瘍 (硬組織)歯牙腫、歯原性線維腫、歯原性石灰化上皮腫、エナメル上皮腫など/(軟組織)線維腫、脂肪腫、乳頭腫、神経鞘腫など
奇形・変形 口唇口蓋裂、顎変形症など
悪性新生物 舌がん、口腔底がん、頬粘膜がん、上顎がん、歯肉がんなど
機能障害 顎関節症(注2)(注3)、顎関節強直症、顎変形症など(注2)[顎関節症]
顎関節症とは口を開けると顎の関節にカクカク音がする、顎の関節が痛い、口が開かない、顎がだるい、肩こりや頭痛がする、といった症状があり、関節雑音、開口障害、咀嚼障害を呈する疾患です。
顎関節症は正しく診断・治療すればそのほとんどが軽快しますが放置しておくと経時的に変形性関節症にまで悪化することが知られています。
当科では顎関節造影検査、関節腔内洗浄療法、スプリント療法(いずれも予約制)などの顎関節症専門外来を行っております。
口腔粘膜・唾液腺疾患 口腔乾燥症、舌痛症、シェーグレン症候群など

(注1)[智歯周囲炎]
智歯(おやしらず)は18歳頃から萌出を開始しますが、現代の日本人の顎の大きさは小さくなっている傾向にあります。第3大臼歯である智歯はスペースがないため顎骨に埋伏している状態(埋伏智歯または水平埋伏智歯)の患者様が多く見られます。
このような顎骨に埋伏した智歯が原因となり歯肉の腫れ、痛みを繰り返し起こすことがあります。
当科では、術前に歯科用3次元CTを用いて正確な診断を行い、炎症がある場合は抗生剤を用いて消炎後、抜歯を行っています。埋伏智歯の場合、歯肉粘膜の切開、骨の削除、智歯の分割、創部の縫合を必要とします。


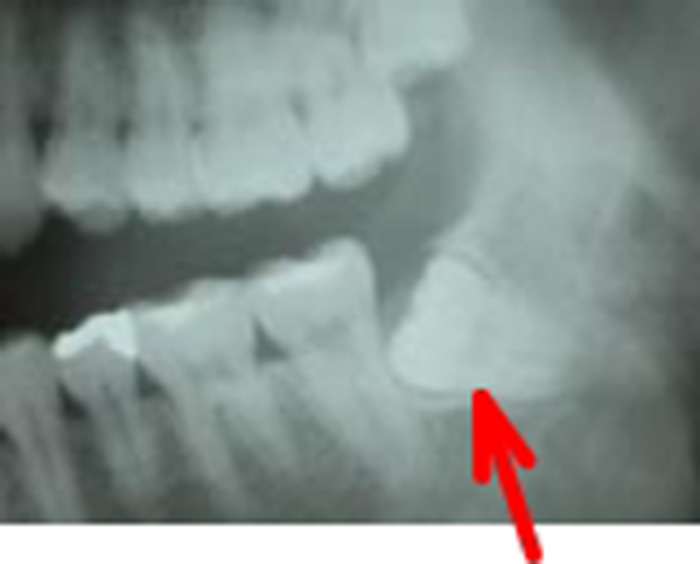
埋伏状智歯患者のオルソパントモ写真

左側下顎水平埋伏智歯

右側下顎水平埋伏智歯

左側下顎水平埋伏智歯施術後

(注2)[顎関節症]
顎関節症とは口を開けると顎の関節にカクカク音がする、顎の関節が痛い、口が開かない、顎がだるい、肩こりや頭痛がする、といった症状があり、関節雑音、開口障害、咀嚼障害を呈する疾患です。
顎関節症は正しく診断・治療すればそのほとんどが軽快しますが放置しておくと経時的に変形性関節症にまで悪化することが知られています。
当科では顎関節造影検査、関節腔内洗浄療法、スプリント療法(いずれも予約制)などの顎関節症専門外来を行っております。

(注3)[周術期口腔ケア]
 近年、口腔疾患は心疾患・糖尿病・誤嚥性肺炎・早産・骨粗鬆症などの全身疾患に影響を与えることが明らかになってきました。そのため口腔ケア(口腔衛生の改善のためのケアや治療)の重要性が高まっています。
 特に周術期において、全身麻酔時の気管内挿管で口腔常在菌を気道へ迷入させる恐れがあり、術後の誤嚥性肺炎などを引き起こす可能性があります。また、術後に絶食となる場合は口から食事をとっている時よりも口腔常在菌が増加するため、感染症を引き起こしやすくなります。
 そのため、当科では、手術や抗がん治療、放射線治療を受けられる患者さんを対象に、口腔に起因する全身的な合併症の軽減を目的として、歯科医師による診察・処置や歯科衛生士による口腔清掃指導・専門的口腔ケア(器械・器具を用いた歯面清掃)を受けていただく専門外来を行っております。
 また、退院後は地域の歯科医院を紹介し、かかりつけの歯科を持って継続的な口腔ケアを受けていただくことを勧めております。

実施光景

関連する診療科・専門外来

歴史及び最新ニュース

当科では、口腔外科全般を行っていますが、特に精力的に行っているのが顎関節症、顎変形症、埋伏智歯及び口腔乾燥症、舌痛症の治療です。また一般歯科治療は全身合併症を有する患者さんのみ、その治療を行っております。

当センターでは病診連携を推進しており、開業医や他の病院の先生方と病診連携・病病連携を行い地域医療の役割分担・効率化に一翼を担っております。したがって当科を受診される際は医院、歯科医院、病院などからの紹介状を持参することをお勧めします。他院通院中、内服中の患者様などはそのかかりつけ医との連携下で治療方針を立てていきます。

当科では全身麻酔手術以外の外来小手術に対しても全例において、インフォームドコンセントを得た上で手術室で手術を行います。清潔操作を徹底することで予後良好な治療成績を得ています。 舌痛症、口腔乾燥症についてはシェーグレン症候群などの全身的な疾患も考慮し、総合病院の利点を生かし他科専門医と連絡を取り、治療に当たっております。

当科では2008年3月よりベラビューエポックスを導入しました。この装置はパノラマ画像と3次元的歯科用CT画像が低照射量、短時間で撮影できます。歯の根尖病巣や顎骨病変、顎関節造影検査での診断やインプラント、抜歯などの術前精査において有効に用いられています。

口腔腫瘍科について

令和4年から口腔腫瘍科を新たに開設させていただきました。口腔腫瘍科で主に扱う疾患は口腔がん(舌がん、歯肉がん、頬粘膜がん、口蓋がん、口底がんなど)です。また、口腔潜在的悪性疾患としての前がん病変(白板症、紅板症など)や、前がん状態(口腔扁平苔癬)なども取り扱います。治療については手術療法、化学療法、放射線療法などを疾患により組み合わせて行います。広範囲にわたる手術などは関係各科と連携・協力し適切に進めていきます。

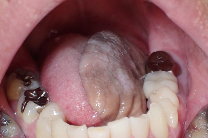
代表画像(舌がん)


舌がん

治療後(前腕皮弁で再建)

代表画像(下顎歯肉癌)


下顎歯肉癌

治療後(金属プレート再建+前腕皮弁再建)

かとう けいぞう

加藤 恵三

役職
  • 口腔腫瘍科部長兼歯科口腔外科部長
認定資格
  • 医学博士
  • 日本口腔外科学会認定 口腔外科専門医・指導医
  • 日本口腔科学会認定 口腔科認定医・指導医
  • 歯科医師臨床研修指導医

いしまる じゅんいち

石丸 純一

役職
  • 主任医長
出身大学 九州歯科大学歯科部卒
認定資格
  • 医学博士
  • 日本口腔外科学会専門医・指導医・代議員・国際学術委員
  • 日本顎関節学会専門医・指導医
  • 歯科医師臨床研修指導医

ばば せいじ

馬場 政司

役職
  • 医長
出身大学 東北大学歯科部卒(H15)
認定資格
  • 医学博士
  • 歯科医師臨床研修指導医

外来担当医表

月曜日 火曜日 水曜日 木曜日 金曜日
1診 午前 馬場政司
(初診・再診)
石丸京子
(初診・再診)
①③⑤
馬場政司
(初診・再診)
②④
石丸京子
初診・再診)
石丸純一
(初診・再診)
加藤恵三
(初診・再診)
午後 手術 石丸京子
(再診)
①③⑤
馬場政司
(再診)
石丸/馬場
(再診・病棟初診)
加藤恵三
(再診)
2診 午前 手術 馬場政司
(再診)
手術 石丸京子
(再診)
午後 手術 石丸純一
(再診)
加藤恵三
(再診)

手術

3診 午前 手術 手術 石丸純一
(再診)
手術
午後 手術 加藤恵三
(再診)
石丸純一
(再診・造影検査)
手術

※病診予約は、赤字部分で可能です。 

診療実績

手術症例数

2023年当科手術症例数

抜歯術(智歯・埋伏歯含む) 269例
腫瘍摘出術 27例
嚢胞摘出術 32例
骨折(観血的整復固定) 8例
インプラント埋入 21例
悪性腫瘍 10例
消炎手術 12例
その他 14例

診療科

専門外来